Hypoplasie van het gebit bij kinderen: symptomen en behandeling

Tandanomalieën en gebreken zijn aandoeningen die veel kinderen treffen en hun ouders verontrusten. Een voorbeeld hiervan is hypoplasie van de tanden bij kinderen.
Dit probleem in het gebit verandert niet alleen hun esthetisch uiterlijk, maar maakt kinderen ook vatbaar voor andere problemen. Denk bijvoorbeeld aan gaatjes of gevoelige tanden.
Daarom is het belangrijk een vroege diagnose te stellen en tijdig een behandeling uit te voeren. Enerzijds om de levenskwaliteit van het kind te verbeteren, en anderzijds om problemen in de toekomst te voorkomen. Lees verder!
Wat is hypoplasie van de tanden bij kinderen?
Tandhypoplasie bij kinderen is een probleem in de ontwikkeling van het glazuur. Wie aan deze aandoening lijdt heeft een of meer tanden met een geringere hoeveelheid van dit weefsel of met een lage kwaliteit ervan.
In het algemeen komt het voor als het gebitselement in vorming is. Dat wil zeggen, voordat de tand doorkomt. Daarom wordt het meestal op jonge leeftijd ontdekt als de tanden net doorgekomen zijn.
Om deze aandoening beter te begrijpen, is het belangrijk te weten dat glazuur het buitenste en meest oppervlakkige weefsel van de gebitselementen is. Het bestaat grotendeels uit calciumkristallen en andere mineralen. Men beschouwt het als het hardste en meest resistente materiaal van het lichaam. Zijn belangrijkste functie is het bedekken en beschermen van de tanden.
Bij tandheelkundige hypoplasie is het glazuur dus onvoldoende of verzwakt. Zoals we je verderop zullen vertellen, kunnen verschillende factoren het ontwikkelingsproces van de gebitselementen veranderen en dit probleem veroorzaken.
Het voorkomen van glazuurhypoplasie bij kinderen varieert naargelang de ernst van het probleem. In sommige gevallen is het heel duidelijk, en andere keren wordt het alleen ontdekt door het deskundige oog van een kindertandarts. Laten we de verschijningsvormen eens nader bekijken.

Wat zijn de symptomen van hypoplasie van de tanden bij kinderen?
Zoals we al gezegd hebben, kan de ernst van tandhypoplasie bij kinderen variëren. Milde graden zijn misschien niet erg duidelijk en kunnen alleen door de tandarts ontdekt worden.
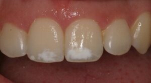
Maar in andere gevallen zijn het de ouders die de verschijnselen van het probleem aan het gebit van hun kleintjes opmerken. Witte vlekken of stippen, lijnen, spleten, putjes, groeven, of deuken op het oppervlak van het glazuur kunnen worden waargenomen. Bovendien is de textuur van het defect ruw en dof.
Er zijn gevallen waarin tandhypoplasie bij kinderen er gelig of bruinachtig uitziet, omdat het onderliggende dentine onbedekt is. En in zeldzamere gevallen kan de vorm van de tand veranderd zijn. Zelfs als de aandoening heel ernstig is, kan er een totaal ontbreken van glazuur zijn en zien de tanden er kleiner en misvormder uit dan de andere.
Als het glazuur aangetast is, kunnen enkele extra complicaties optreden, zoals zachte tanden, gevoelige tanden, en een grotere aanleg om aan gaatjes en gingivitis te lijden. Omdat ze minder bescherming hebben tegen zuren en een grotere aanwezigheid van structurele gebreken, wordt het vasthouden van bacteriële plak vergemakkelijkt.
De oorzaken van hypoplasie
Soms is het moeilijk de oorzaak te vinden die aanleiding geeft tot tandhypoplasie bij kinderen. Het probleem doet zich namelijk voor tijdens de ontwikkeling van het tandelement binnen het tandvlees.
Meestal zijn het situaties of omstandigheden die zich in de eerste levensjaren van het kind voordoen die dit probleem veroorzaken. Dit zijn enkele van de veel voorkomende omstandigheden (Spaanse link) die hypoplasie van de tanden kunnen veroorzaken:
- Problemen tijdens de zwangerschap: De gebitselementen beginnen zich te vormen terwijl het kind nog in de baarmoeder van de moeder zit. Bepaalde ziekten van de moeder, zoals infecties met hoge koorts, het gebruik van bepaalde medicijnen, of voedingstekorten tijdens de zwangerschap kunnen tandhypoplasie bij de zich ontwikkelende foetus veroorzaken.
- Problemen in de vroege kindertijd: Vroeggeboortes, laag geboortegewicht, vitaminegebrek, ondervoeding, infecties, langdurige koortsachtige syndromen, of systemische ziekten op jonge leeftijd kunnen deze gebitsafwijking veroorzaken.
- Trauma: Klappen op de mond tijdens de kinderjaren kunnen de melktand aantasten en, via de wortel, de kiem van de eronder vormende blijvende tand verwonden. De blijvende tand is dan degene die hypoplasie vertoont bij het doorbreken.
- Erfelijkheid: Sommige erfelijke genetische patronen kunnen de tandvorming beïnvloeden. Soms is het in een enkele tand aanwezig, en andere keren zijn er meerdere elementen bij betrokken. In sommige gevallen gaat het zelfs samen met andere symptomen die samen een complexer syndroom vormen.
De behandeling van hypoplasie bij kinderen
Door tandhypoplasie bij kinderen vroeg op te sporen kan men het probleem aanpakken voordat er complicaties optreden. Daarom zijn regelmatige consulten en controles bij de kindertandarts van essentieel belang.
Bij routine-onderzoeken zal de vakman elk spoor van het gebrek kunnen opsporen en vroegtijdig ingrijpen. Afhankelijk van het soort getroffen gebit, loof- of blijvend, de grootte en het uiterlijk van de laesie zullen de te kiezen procedures zijn.
Tandartsen hebben verschillende alternatieven om tandhypoplasie bij kinderen te behandelen. Als er gebreken in de melktanden verschijnen, besluiten de vakmensen meestal de situatie onder controle te houden, door een grondige mondhygiëne te handhaven en regelmatig toedieningen met fluoride te doen. Zo proberen we de complicaties van de aandoening, zoals gaatjes, gingivitis en gevoeligheid, te vermijden.
Als het gevoel van eigenwaarde van het kind erg wordt aangetast door het uiterlijk van zijn tanden, kunnen we onze toevlucht nemen tot enkele esthetische ingrepen (Spaanse link) die bij zijn leeftijd passen.
Afdichtmiddelen of reconstructie
Bij blijvende tanden kiezen we meestal voor het gebruik van afdichtmiddelen. Imperfecties worden bedekt met een vulmateriaal van dezelfde kleur als de tanden in goede staat.
Als vlekken erg opvallen, kan tandheelkundige microabrasie worden toegepast. Dit is een procedure waarbij men het tandglazuur polijst. Daarna bedekt men het met harsen van dezelfde kleur als de normale tand.
In de ernstigste situaties, waarin de tanden veel van hun glazuur verloren hebben of misvormd zijn, zijn reconstructies met harsen aangewezen. Tenminste tot het kind een geschikte leeftijd bereikt om zijn toevlucht te nemen tot een andere soort esthetische behandeling.
Tanden bleken, facings en porseleinen kronen zijn esthetische behandelingen die nuttig zijn om het uiterlijk van tanden met tandhypoplasie te verbeteren. Maar het gebruik ervan wordt pas op volwassen leeftijd aanbevolen.

Handel onmiddellijk
Tandhypoplasie bij kinderen kan je meestal niet voorkomen. Maar als je tekenen ontdekt die je doen vermoeden dat je kleintje aan dit probleem lijdt, is het beter zo snel mogelijk professionele hulp te zoeken. Hoe eerder de diagnose gesteld is en men handelt, hoe minder risico op complicaties er is.
Bovendien is mondverzorging met een goede mondhygiëne, een gezond dieet, en regelmatig bezoek aan de kindertandarts de sleutel tot het vermijden van negatieve gevolgen. Met deze basiszorg kun je het glazuur van de tanden van je kind beschermen. Zo help je hem of haar aan een gezonde glimlach.
Tandanomalieën en gebreken zijn aandoeningen die veel kinderen treffen en hun ouders verontrusten. Een voorbeeld hiervan is hypoplasie van de tanden bij kinderen.
Dit probleem in het gebit verandert niet alleen hun esthetisch uiterlijk, maar maakt kinderen ook vatbaar voor andere problemen. Denk bijvoorbeeld aan gaatjes of gevoelige tanden.
Daarom is het belangrijk een vroege diagnose te stellen en tijdig een behandeling uit te voeren. Enerzijds om de levenskwaliteit van het kind te verbeteren, en anderzijds om problemen in de toekomst te voorkomen. Lees verder!
Wat is hypoplasie van de tanden bij kinderen?
Tandhypoplasie bij kinderen is een probleem in de ontwikkeling van het glazuur. Wie aan deze aandoening lijdt heeft een of meer tanden met een geringere hoeveelheid van dit weefsel of met een lage kwaliteit ervan.
In het algemeen komt het voor als het gebitselement in vorming is. Dat wil zeggen, voordat de tand doorkomt. Daarom wordt het meestal op jonge leeftijd ontdekt als de tanden net doorgekomen zijn.
Om deze aandoening beter te begrijpen, is het belangrijk te weten dat glazuur het buitenste en meest oppervlakkige weefsel van de gebitselementen is. Het bestaat grotendeels uit calciumkristallen en andere mineralen. Men beschouwt het als het hardste en meest resistente materiaal van het lichaam. Zijn belangrijkste functie is het bedekken en beschermen van de tanden.
Bij tandheelkundige hypoplasie is het glazuur dus onvoldoende of verzwakt. Zoals we je verderop zullen vertellen, kunnen verschillende factoren het ontwikkelingsproces van de gebitselementen veranderen en dit probleem veroorzaken.
Het voorkomen van glazuurhypoplasie bij kinderen varieert naargelang de ernst van het probleem. In sommige gevallen is het heel duidelijk, en andere keren wordt het alleen ontdekt door het deskundige oog van een kindertandarts. Laten we de verschijningsvormen eens nader bekijken.

Wat zijn de symptomen van hypoplasie van de tanden bij kinderen?
Zoals we al gezegd hebben, kan de ernst van tandhypoplasie bij kinderen variëren. Milde graden zijn misschien niet erg duidelijk en kunnen alleen door de tandarts ontdekt worden.
Maar in andere gevallen zijn het de ouders die de verschijnselen van het probleem aan het gebit van hun kleintjes opmerken. Witte vlekken of stippen, lijnen, spleten, putjes, groeven, of deuken op het oppervlak van het glazuur kunnen worden waargenomen. Bovendien is de textuur van het defect ruw en dof.
Er zijn gevallen waarin tandhypoplasie bij kinderen er gelig of bruinachtig uitziet, omdat het onderliggende dentine onbedekt is. En in zeldzamere gevallen kan de vorm van de tand veranderd zijn. Zelfs als de aandoening heel ernstig is, kan er een totaal ontbreken van glazuur zijn en zien de tanden er kleiner en misvormder uit dan de andere.
Als het glazuur aangetast is, kunnen enkele extra complicaties optreden, zoals zachte tanden, gevoelige tanden, en een grotere aanleg om aan gaatjes en gingivitis te lijden. Omdat ze minder bescherming hebben tegen zuren en een grotere aanwezigheid van structurele gebreken, wordt het vasthouden van bacteriële plak vergemakkelijkt.
De oorzaken van hypoplasie
Soms is het moeilijk de oorzaak te vinden die aanleiding geeft tot tandhypoplasie bij kinderen. Het probleem doet zich namelijk voor tijdens de ontwikkeling van het tandelement binnen het tandvlees.
Meestal zijn het situaties of omstandigheden die zich in de eerste levensjaren van het kind voordoen die dit probleem veroorzaken. Dit zijn enkele van de veel voorkomende omstandigheden (Spaanse link) die hypoplasie van de tanden kunnen veroorzaken:
- Problemen tijdens de zwangerschap: De gebitselementen beginnen zich te vormen terwijl het kind nog in de baarmoeder van de moeder zit. Bepaalde ziekten van de moeder, zoals infecties met hoge koorts, het gebruik van bepaalde medicijnen, of voedingstekorten tijdens de zwangerschap kunnen tandhypoplasie bij de zich ontwikkelende foetus veroorzaken.
- Problemen in de vroege kindertijd: Vroeggeboortes, laag geboortegewicht, vitaminegebrek, ondervoeding, infecties, langdurige koortsachtige syndromen, of systemische ziekten op jonge leeftijd kunnen deze gebitsafwijking veroorzaken.
- Trauma: Klappen op de mond tijdens de kinderjaren kunnen de melktand aantasten en, via de wortel, de kiem van de eronder vormende blijvende tand verwonden. De blijvende tand is dan degene die hypoplasie vertoont bij het doorbreken.
- Erfelijkheid: Sommige erfelijke genetische patronen kunnen de tandvorming beïnvloeden. Soms is het in een enkele tand aanwezig, en andere keren zijn er meerdere elementen bij betrokken. In sommige gevallen gaat het zelfs samen met andere symptomen die samen een complexer syndroom vormen.
De behandeling van hypoplasie bij kinderen
Door tandhypoplasie bij kinderen vroeg op te sporen kan men het probleem aanpakken voordat er complicaties optreden. Daarom zijn regelmatige consulten en controles bij de kindertandarts van essentieel belang.
Bij routine-onderzoeken zal de vakman elk spoor van het gebrek kunnen opsporen en vroegtijdig ingrijpen. Afhankelijk van het soort getroffen gebit, loof- of blijvend, de grootte en het uiterlijk van de laesie zullen de te kiezen procedures zijn.
Tandartsen hebben verschillende alternatieven om tandhypoplasie bij kinderen te behandelen. Als er gebreken in de melktanden verschijnen, besluiten de vakmensen meestal de situatie onder controle te houden, door een grondige mondhygiëne te handhaven en regelmatig toedieningen met fluoride te doen. Zo proberen we de complicaties van de aandoening, zoals gaatjes, gingivitis en gevoeligheid, te vermijden.
Als het gevoel van eigenwaarde van het kind erg wordt aangetast door het uiterlijk van zijn tanden, kunnen we onze toevlucht nemen tot enkele esthetische ingrepen (Spaanse link) die bij zijn leeftijd passen.
Afdichtmiddelen of reconstructie
Bij blijvende tanden kiezen we meestal voor het gebruik van afdichtmiddelen. Imperfecties worden bedekt met een vulmateriaal van dezelfde kleur als de tanden in goede staat.
Als vlekken erg opvallen, kan tandheelkundige microabrasie worden toegepast. Dit is een procedure waarbij men het tandglazuur polijst. Daarna bedekt men het met harsen van dezelfde kleur als de normale tand.
In de ernstigste situaties, waarin de tanden veel van hun glazuur verloren hebben of misvormd zijn, zijn reconstructies met harsen aangewezen. Tenminste tot het kind een geschikte leeftijd bereikt om zijn toevlucht te nemen tot een andere soort esthetische behandeling.
Tanden bleken, facings en porseleinen kronen zijn esthetische behandelingen die nuttig zijn om het uiterlijk van tanden met tandhypoplasie te verbeteren. Maar het gebruik ervan wordt pas op volwassen leeftijd aanbevolen.

Handel onmiddellijk
Tandhypoplasie bij kinderen kan je meestal niet voorkomen. Maar als je tekenen ontdekt die je doen vermoeden dat je kleintje aan dit probleem lijdt, is het beter zo snel mogelijk professionele hulp te zoeken. Hoe eerder de diagnose gesteld is en men handelt, hoe minder risico op complicaties er is.
Bovendien is mondverzorging met een goede mondhygiëne, een gezond dieet, en regelmatig bezoek aan de kindertandarts de sleutel tot het vermijden van negatieve gevolgen. Met deze basiszorg kun je het glazuur van de tanden van je kind beschermen. Zo help je hem of haar aan een gezonde glimlach.
Alle aangehaalde bronnen zijn grondig gecontroleerd door ons team om hun kwaliteit, betrouwbaarheid, actualiteit en geldigheid te waarborgen. De bibliografie van dit artikel werd beschouwd als betrouwbaar en wetenschappelijk nauwkeurig.
- Gamboa Valdez, M. R. (2016). hipoplasia del esmalte en paciente de 6 años sexo masculino. analisis de caso (Bachelor’s thesis, Universidad de Guayaquil. Facultad Piloto de Odontología).
- Margot, N. C. A., & Rubén, M. S. (2014). Tratamiento estético conservador con microabrasión sobre hipoplasias del esmalte en dientes permanentes jóvenes. Revista Tamé, 271-274.
- Silva, S. M. B. D., Lanza, C. R. M., Oliveira, F. S. D., & Machado, M. A. D. A. M. (1999). Tratamiento de hipoplasia del esmalte con la técnica de microabrasión en odontopediatría. Revista Odontológica Dominicana, 5(1), 9-14.
- Molina Morales, H., & Galván Calle, M. (2008). TRATAMIENTO DE DIENTES PERMANENTES JÓVENESCON HIPOPLASIA DEL ESMALTE. REPORTE DE CASO.
- Páucar, M. Á., Gonzales, K. Q., Cruces, V. R., & Obregón, R. M. C. (2009). Microabrasión dental para pacientes odontopediátricos: Una alternativa estética. Odontología sanmarquina, 12(2), 86-89.
- Ancco Olaguivel, N. R. (2017). Relación de la ingesta de amoxicilina con la hipoplasia de esmalte en niños de 7-10 años del hospital Rafael Ortiz Ravinez Juli–2016.
- Salazar, J. F. T., & Ortega, D. R. (2017). Signos dentales de la sífilis congénita. Revista Asociación Dental Mexicana, 74(6), 286-292.
- Poma Torres, E. M. (2021). Manejo y protocolo de atención de la hipoplasia en niños (Bachelor’s thesis, Universidad de Guayaquil. Facultad Piloto de Odontología).
- Rivera Molina, D., & Jiménez del Río, P. (2015). Hipoplasia del esmalte y su asociación con caries en niños de 5 a 14 años, en la provincia de Talca, 2015 (Doctoral dissertation, Universidad de Talca (Chile). Escuela de Odontología.).
- Ochoa Enríquez, K. J. (2015). Hipoplasias localizadas en los primeros molares permanentes y su tratamiento (Bachelor’s thesis, Universidad de Guayaquil. Facultad Piloto de Odontología).
Deze tekst wordt alleen voor informatieve doeleinden aangeboden en vervangt niet het consult bij een professional. Bij twijfel, raadpleeg uw specialist.







